Εσείς τι γνωρίζετε για το Σύνδρομο κενού σάκου;
Με τον όρο «σάκο» αναφερόμαστε συνήθως στον αμνιακό σάκο (ή πιο σωστά στον «αμνιακό ασκό»).
Τι είναι ο σάκος;
Με τον όρο «σάκο» αναφερόμαστε συνήθως στον αμνιακό σάκο (ή πιο σωστά στον «αμνιακό ασκό»). Πρόκειται για τον ασκό, μέσα στον οποίο αναπτύσσεται προστατευμένο το έμβρυο.
Ο σάκος αυτός είναι αρχικά μικροσκοπικός, στη συνέχει αναπτύσσεται, ώστε να καταλάβει ολόκληρη την ενδομητρική κοιλότητα. Το μέγεθος του σάκου ακολουθεί το μέγεθος του ραγδαίως αναπτυσσόμενου μωρού και του πλακούντα και πιέζει τα όρια της ενδομητρικής κοιλότητας (βλ. εικόνα).

Έτσι και η μήτρα διογκώνεται σταδιακά με το βάρος της στο τέλος της κύησης να υπερβαίνει το ένα κιλό από το αρχικό βάρος των περίπου 100 γραμμαρίων της μη εγκυμόνου μήτρας.
Ο αμνιακός σάκος αποτελείται από μία λεπτή μεμβράνη, που έρχεται σε επαφή με το εσωτερικό τοίχωμα της ενδομητρικής κοιλότητας και είναι μέρος του πλακούντα. Εντός του σάκου εκτός από το μωρό (ή τα μωρά) περιέχεται υδαρές υγρό, το αμνιακό υγρό.
Ο αμνιακός σάκος σε κάποιο στάδιο της κύησης διαρρηγνύεται («σπάει»). Η ρήξη αυτή μπορεί να γίνει πρόωρα, τεχνητά κατά τη διάρκεια του τοκετού, ή αυτόματα, οπότε και εμφανίζεται ένα από τα πιο «κλασσικά» σημάδια έναρξης του τοκετού και αναφωνούμε «σπάσαν τα νερά!».
Πότε φαίνεται για πρώτη φορά ο σάκος με υπερηχογράφημα;
Ο αμνιακός σάκος είναι δυνατόν να εντοπιστεί για πρώτη φορά όταν η κύηση είναι στην 5η της εβδομάδα.
Ο εντοπισμός του αμνιακού σάκου δεν είναι εφικτός με κοιλιακό υπερηχογράφημα στο στάδιο αυτό της κύησης, διότι η μήτρα είναι ακόμα πολύ μικρή και καλύπτεται από τα οστά της λεκάνης. Έτσι τον αμνιακό σάκο τον εντοπίζουμε για πρώτη φορά συνήθως με διακολπικό υπερηχογράφημα.
Ο υπολογισμός της ηλικίας της κύησης με βάση την τελευταία περίοδο είναι – ειδικά αν ο κύκλος σας είναι ασταθής – συχνά ανακριβής.
Έτσι ένα άλλο κριτήριο, που μπορούμε να χρησιμοποιήσουμε, για να καθορίσουμε πότε ο αμνιακός σάκος θα είναι ορατός με υπερηχογράφημα είναι τα επίπεδα της βήτα χοριακής.
Σε γενικές γραμμές, θα πρέπει να μπορούμε να δούμε σάκο μέσα στη μήτρα – χωρίς όμως αυτό να είναι απόλυτο – όταν τα επίπεδα της χοριακής υπερβαίνουν τις 1000 IU/ml.
Τότε ο σάκος θα φανεί σαν ένας μικρός μαύρος κύκλος μέσα στη μήτρα σας (βλ. εικόνα).

Τι σημαίνει «κενός σάκος»;
Κενός είναι ο σάκος, μέσα στον οποίο δεν δυνάμεθα να εντοπίσουμε το λεγόμενο «εμβρυϊκό πόλο». Εμβρυϊκός πόλος ονομάζεται η περιοχή αυτή του αμνιακού σάκου, στην οποία θα εμφανιστεί αυτό καθαυτό το έμβρυο.
Επομένως, «κενός» χαρακτηρίζεται ο σάκος, εντός του οποίου δεν εντοπίζονται εμβρυϊκά στοιχεία.
Πώς φαίνεται στο υπερηχογράφημα ο εμβρυϊκός πόλος;
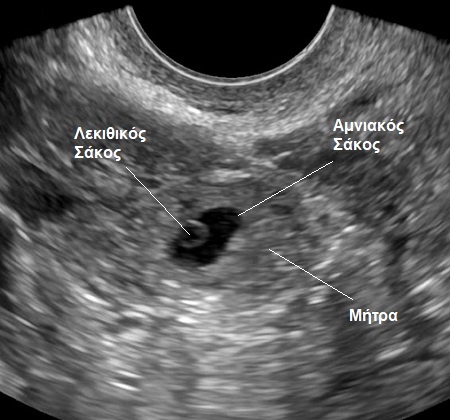
Η πρώτη ανατομική δομή του εμβρύου, που εντοπίζουμε υπό κανονικές συνθήκες εντός του αμνιακού σάκου είναι ο λεκιθικός σάκος (ή «ασκός»).
Πρόκειται για ένα μικρό σφαιρικό όργανο, το οποίο στο υπερηχογράφημα απεικονίζεται ως ένας μικρός κύκλος μέσα σε έναν μεγαλύτερο κύκλο, που είναι ο αμνιακός σάκος (βλ. εικόνα).

Ο λεκιθικός σάκος αρχίζει να σχηματίζεται ήδη από την 3η ημέρα της κύησης, δηλαδή λίγο πάνω από 2 εβδομάδες από την πρώτη ημέρα της τελευταίας περιόδου.
Είναι δυνατόν να εντοπισθεί ο λεκιθικός σάκος δια του υπερηχογραφικού ελέγχου περίπου δύο εβδομάδες μετά τη γονιμοποίηση, δηλαδή περίπου 4 εβδομάδες από την πρώτη ημέρα της τελευταίας περιόδου, λίγες ημέρες επομένως αφού διαπιστωθεί καθυστέρηση της έλευσης της έμμηνου ρύσης, συγχρόνως περίπου με τον αμνιακό σάκο.
Ο λεκιθικός σάκος είναι μια δομή, που βρίσκεται σε επαφή με το έμβρυο, στο οποίο και παρέχει αίμα στα πρώτα στάδια της ανάπτυξής του. Ο λεκιθικός ασκός αυξάνεται σε μέγεθος μέχρι και τη 10η εβδομάδα της κύησης περίπου. Έκτοτε σταδιακά συρρικνώνεται μέχρι, που είναι υπερηχογραφικά μη εντοπίσιμος μεταξύ των 14 και 20 εβδομάδων της κύησης.
7 με 10 ημέρες μετά τον εντοπισμό του λεκιθικού σάκου και σε επαφή με αυτόν εντοπίζεται με διακολπικό υπερηχογράφημα αυτό καθαυτό το έμβρυο, ως ένας επιμήκης ανοιχτόχρωμος (δηλαδή λευκός –ο ιατρικός όρος είναι «υπερηχογενής») σχηματισμός, επί του οποίου εντός εύλογου χρονικού διαστήματος, θα πρέπει να εντοπισθεί και καρδιακή λειτουργία.
Σύμφωνα με τα κριτήρια, που έχουν τεθεί από την Ελληνική Εταιρεία Υπερήχων στη Μαιευτική και Γυναικολογία, θα πρέπει να είμαστε σε θέση να εντοπίσουμε εμβρυϊκό πόλο (λεκιθικό ασκό με ή χωρίς εμφανές έμβρυο) εντός του αμνιακού σάκου, όταν αυτός έχει διάμετρο μεγαλύτερη ή ίση με 30 χιλιοστόμετρα (δηλαδή 3 εκατοστά).
Επομένως, αν μία γυναίκα με θετικό test κύησης ή με μετρήσεις β – χοριακής, που υποδηλούν κύηση, υποβληθεί σε διακολπικό υπερηχογράφημα και εντός της μήτρας της εντοπισθεί σάκος με διάμετρο μεγαλύτερη ή ίση με 30 χιλιοστόμετρα, ο οποίος είναι κενός, τότε τίθεται ισχυρά η υποψία συνδρόμου κενού σάκου.
Τι γίνεται τότε;
Συνήθως συνιστούμε επανάληψη του υπερηχογραφικού ελέγχου μετά από 7 με 10 ημέρες.
Αν και τότε ο σάκος παραμένει κενός, δύο είναι τα ενδεχόμενα, που πρέπει να διερευνηθούν:
- Παλίνδρομη κύηση (αποβολή)
- Εξωμήτρια κύηση
Η αντιμετώπιση, που θα συστηθεί εξαρτάται από τα ευρήματα και από την τελική διάγνωση.
Δρ ΜΕΝΕΛΑΟΣ ΚΩΝ. ΛΥΓΝΟΣ, MSc, PhD
ΜΑΙΕΥΤΗΡ ΧΕΙΡΟΥΡΓΟΣ ΓΥΝΑΙΚΟΛΟΓΟΣ
Master of Science University College London
Διδάκτωρ Μαιευτικής Γυναικολογίας
πηγή: Mothersblog.gr